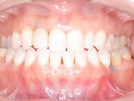
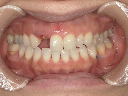
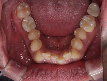
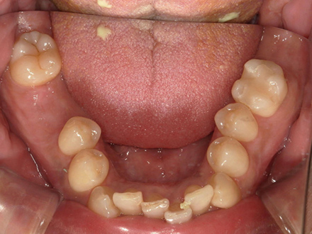
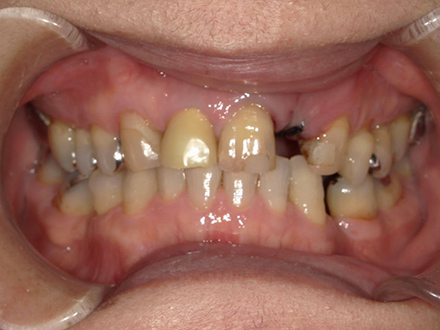
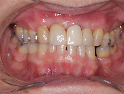
インプラントの症例


口腔外科専攻医が担当します
インプラントは専門性の高い外科的な処置です。
当院では、大学病院での経験を持つ口腔外科専攻医がすべての治療
を担当し、安全性に配慮した治療を行っています。


患者さんの安心・安全を第一に、
丁寧で確実な処置を行っています。
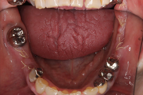
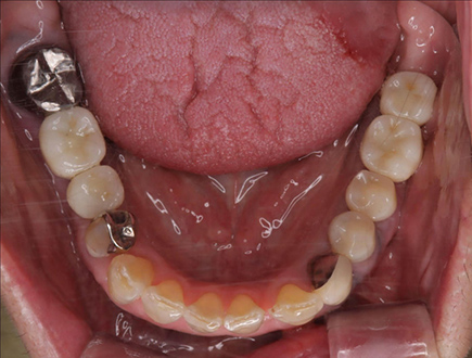
CTとサージカルガイドで、もっと安全に
当院ではすべてのインプラント治療でCTと専用ガイドを使用し、骨の状態や神経の位置を正確に確認したうえで、理想的な位置にブレなくインプラントを埋入します。
見えない部分こそ丁寧に。
安心してお任せいただける治療を心がけています。
インプラント治療費(1本あたり)
費用:¥440,000(税込)
(基本料・CT・ガイド・手術・被せ物すべて込み)
| 内訳 | 金額(税込) |
|---|---|
| インプラント本体(フィクスチャー) | ¥220,000 |
| 上部構造(被せ物/セラミッククラウン) | ¥220,000 |
| 基本料・CT撮影・サージカルガイド | 無料(キャンペーン中) |
当院では、必要な処置や検査をすべて含めた明朗な料金設定でご案内しています。
「あとから追加費用がかかった」というご不安がないように、事前にしっかりとご説明させていただきます。

治療の流れ

すべての工程で、丁寧にご説明しながら治療を進めていきます。
ご不安なことは、いつでもお尋ねください。

| 治療部位 | 左側下顎臼歯部 |
|---|---|
| インプラント本数 | 2本 |
| 単価 | 40万円/本 |
| 合計費用 | 80万円 |

| 治療部位 | 上顎前歯部 |
|---|---|
| インプラント本数 | 4本 |
| 単価 | 40万円/本 |
| 合計費用 | 160万円 |

| 治療部位 | 両側下顎臼歯部 |
|---|---|
| インプラント本数 | 1本ずつ |
| 単価 | 40万円/本 |
| 合計費用 | 40万円 |

| 治療部位 | 両側下顎臼歯部 |
|---|---|
| インプラント本数 | 2本ずつ |
| 単価 | 40万円/本 |
| 合計費用 | 80万円 |



| 治療部位 | 右側上顎前歯 |
|---|---|
| インプラント本数 | 1本 |
| 単価 | 40万円/本 |
| 合計費用 | 40万円 |



| 治療部位 | 両側下顎臼歯部 |
|---|---|
| インプラント本数 | 1本ずつ |
| 単価 | 40万円/本 |
| 合計費用 | 40万円 |




| 治療部位 | 左側上顎前歯部 |
|---|---|
| インプラント本数 | 1本 |
| 単価 | 40万円/本 |
| 合計費用 | 40万円 |
よくある質問 ①
Q. 骨が少ないと言われたけど、大丈夫ですか?
A. はい、大丈夫です。当院では、骨の量が少ない場合にも対応できる「骨造成(GBR)」という処置が可能です。状態に応じて最適な方法をご提案いたします。
骨造成(骨を増やす処置)費用の目安:¥55,000〜(税込)
よくある質問 ②
Q. インプラント手術は痛いですか?
A. 思っているより痛みは少ないです。しっかりと局所麻酔を効かせて行うため、多くの方が「親知らずの抜歯と同じくらいだった」と話されます。
ご希望に応じて麻酔方法の調整も可能です。
よくある質問 ③
Q. インプラントのメリットって何ですか?
A. 他の歯を削らず、しっかり噛めて長持ちします。ブリッジのように周囲の歯を削る必要がなく、入れ歯よりもしっかり噛めるのが大きな特長です。他の歯への負担も減り、長期的にみても安心です。
インプラントは、長く安心して使えます

インプラントは、正しく使えばとても長持ちします。
5年後の生存率は95%以上。
定期的なメンテナンスを行えば、10年以上快適に使えることが多いです。
ただし、噛み合わせが悪い場合(※開咬など)は周囲の歯やインプラントに負担がかかり、長く使えない原因になることもあります。
「しっかり噛めること」は、お口と全身の健康につながります。
記事監修医師
市川おとなこども歯科口腔外科・矯正歯科
お気軽にお問い合わせください RESERVE
予約優先・急患即日対応
当日のご予約はお待たせさせないために
ご来院前に一度お電話
いただけますとスムーズです

〒272-0034 千葉県市川市市川1-4-10市川ビル11階
| 診察時間 | 月 | 火 | 水 | 木 | 金 | 土 | 日祝 |
|---|---|---|---|---|---|---|---|
| 9:30〜13:30 | ● | / | ● | ● | / | ● | ● |
| 14:30〜18:30 | ● | / | ● | ● | / | ● | ● |
休診日/火・金
土日祝/18:30まで
電車、バス、提携駐車場、提携駐輪場あり






